微影医生 2026 最新版本是专业医疗影像诊断应用,供医生等使用。支持多种影像格式,有缩放等功能,云端存储共享,界面简洁。由资深团队研发,功能全面,亮点众多,不断更新优化,获用户好评。
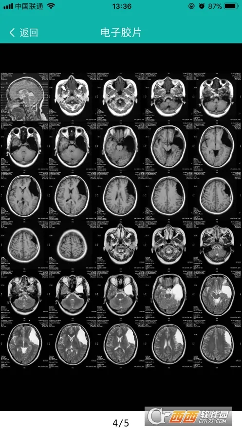
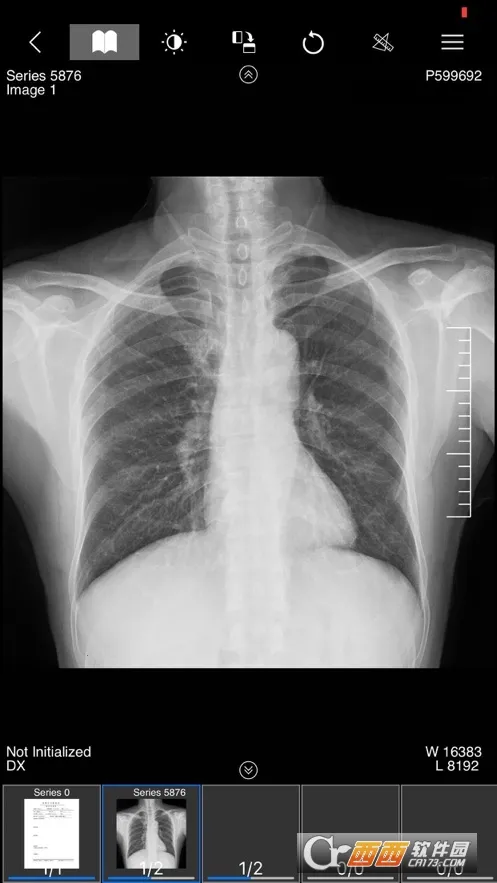
在选择医院时,很多人会感到迷茫。有了微影医生这类专业医疗影像诊断应用,就能帮你解决不少问题。它专为医生和医疗工作者打造,支持 DICOM、JPEG 等多种医学影像格式,有缩放、旋转、对比度调节等功能,方便外出或值班时精准诊断。云端存储与共享能助力多科室协作,提升诊疗效率。它界面简洁直观,操作便捷。对于咱们普通用户来说,这意味着当我们需要了解医院的影像诊断水平时,能通过微影医生查看相关影像处理效果。比如能清晰看到医院对影像的加载速度快不快,能不能进行多窗格显示以便对比分析,有没有专业的三维重建技术助力立体诊断等,从而更全面、准确地判断医院的实力,帮助我们做出更合适的医院选择。

1.
界面简洁直观,操作便捷流畅,能让医疗工作者快速上手,带来高效的使用体验。
2.
支持多种医学影像格式,如DICOM、JPEG等,方便外出或值班时精准诊断各类影像。
3.
云端存储与共享助力多科室协作,可随时随地调阅患者资料,实现跨设备跨平台无缝协作,大大提升诊疗效率。
4.
采用多重加密机制,严格保护患者隐私,为门诊急诊及远程会诊等各类应用场景提供坚实的安全保障。
“微影医生2026最新版本”在很多方面都有出色表现。它延续了简洁直观的界面设计,操作起来依旧便捷顺手。影像加载速度进一步提升,能让医生更快速地获取患者资料,节省时间。渲染效果清晰,细节展现丰富,高分辨率影像助力医生更精准地诊断。其智能算法不断优化,诊断效率显著提高。云端同步技术更稳定高效,实现跨设备跨平台无缝协作毫无压力。数据加密也更加严格,全方位保护患者隐私。设备兼容性更广,适应不同医疗设备的输出。而且持续更新优化,不断满足医生们在各种临床场景下的需求,为医疗工作者提供了更强大的智能助手,是一款值得肯定的医疗影像诊断应用版本。
1. 智能算法显著提升诊断效率,快速加载高分辨率影像,支持多窗格显示、三维重建等专业功能,满足复杂临床场景需求。
2. 跨平台数据同步实现无缝衔接,医生可随时随地调阅患者资料,通过云端同步技术,实现跨设备跨平台协作。
3. 严格的数据加密保障信息安全,采用多重加密机制,严格保护患者隐私,为各类应用场景提供坚实技术支撑。
4. 持续更新优化用户体验,不断新增智能标注工具、优化算法、改进云端同步机制等,适应不同需求,保持产品竞争力。